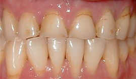
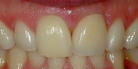
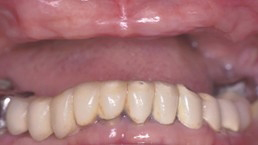
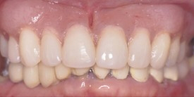
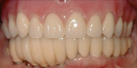
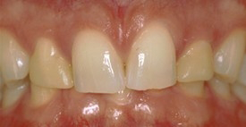
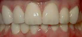
Finding a dentist near Ocoee who freely displays their work is a benefit many patients take for granted. At Maguire Comprehensive Dentistry, Dr. Holz is pleased to stand by and showcase the superior results provided to individuals who once needed dental crowns, custom veneers, comprehensive smile makeovers, and even high-end dental implants. Take a look at the following images and call us if you have any questions about our work.










